What Are the Benefits of Cosmetic Dentistry?
Having a Smile You Love
The Hidden Health Benefits of Cosmetic Dentistry


The Cosmetic Dentist Who Teaches Other Dentists
Being confident in the smile you share with the world is important. After all, our smiles can create a lasting impression professionally and socially, and they are immortalized during life’s biggest moments. That is why Evolution Dental offers such a great selection of cosmetic dentistry services.
With our help, you can get the smile you’ve always wanted with a truly personalized plan of high-quality treatments. At Evolution Dental, we let our experience speak for itself. Dr. Cast knows how to get every patient a gorgeous grin, and he is THE ONLY dentist in the Palm Springs / Palm Desert area who is a lecturer and clinical instructor at the Las Vegas Institute for Advanced Dental Studies (LVI).
There’s no need to wait another day to get the dazzling smile that brightens your tomorrow. Contact our office to schedule your cosmetic dentistry consultation.

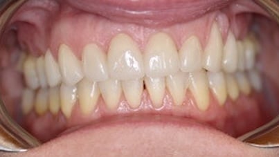
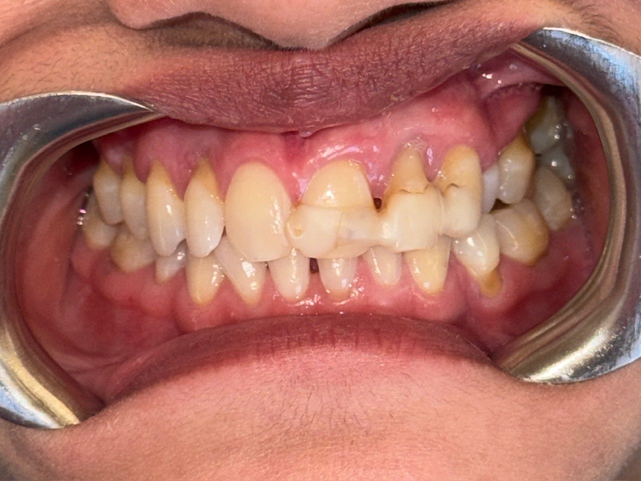
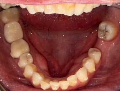
Check Out Results from Real Cosmetic Cases
Dental Veneers
A beautiful blend of both cosmetic and restorative dentistry, our dental veneers are one of the quickest ways to get a brand-new smile. Made from stain-resistant and durable porcelain, veneers are thin, protective shells that are bonded to your teeth. The end result? A refreshed, natural-looking smile that improves dental health.

Traditional Veneers
At Evolution Dental, we offer two types of veneers for a broader selection to suit your lifestyle. Our traditional veneers are made from high-quality porcelain and designed to provide a natural look that enhances the aesthetics of your smile.
With traditional veneers, we can protect damaged teeth, cover gaps between teeth, and even provide a solution to chronic discoloration due to aging, medical issues, or medications.
These veneers require some preparation such as enamel trimming; this allows them a more secure bond to your teeth for a more natural feel and impressive longevity. Traditional veneers can last up to 20 years and only take three office visits to complete.
Prepless Veneers
Also known as “chairside veneers”, prepless veneers are a more streamlined option than their traditional counterpart while providing similar benefits. They do not require enamel trimming but instead are bonded atop your natural teeth.
This allows prepless veneers to be placed in a single office visit as well as giving you the option to have them removed just as easily.

Crowns
Dental crowns are a fantastic solution to many issues that may affect a single tooth. When placed over a troublesome tooth, our dental crowns restore functionality while providing a natural look that matches your other teeth.
Thanks to their ability to target a specific tooth, this makes dental crowns one of the most dependable treatments for a wide range of issues. Some of the most common uses are:
- Protecting a damaged tooth
- Restoring a worn-down tooth
- Holding dental bridges in place
- Enhancing the aesthetics of a stained, malformed, or misshapen tooth
We even use crowns to protect teeth after a root canal, which can prevent infections from reoccurring. With our root canal and crowns together, your tooth will experience longevity and health.
Metal-Free Restorations
As our name suggests, here at Evolution Dental our treatments are always evolving to provide you with the finest dental care available. That is why we use only the highest quality materials like zirconia for our crowns, making our restorations metal-free.
Our office is proud to also offer e.max crowns, one of the newest types of dental caps that are becoming wildly popular thanks to their natural durability and aesthetically pleasing design.
Invisalign Clear Braces
Having straight teeth doesn’t only improve the cosmetics of your smile but also your dental health. Crooked or misaligned teeth can increase your chances of developing gum disease, cause dental shifting, and even impact the strength of your bite.
Fortunately, straighter teeth and a healthier smile can be achieved quicker than ever with our Invisalign treatment.
Using specialized computer analysis and in-depth oral scans, we can create Invisalign clear braces that are specific to your orthodontic needs.

A Perfect Pairing of Speed and Subtlety
What’s better than improving your smile quickly? Being able to do so subtly—Invisalign clear braces are practically undetectable and can be removed whenever necessary. This means no distractions at work, school, or social events.
Invisalign aligners may be the answer to your orthodontic concerns as they address common issues like:
- Crooked teeth
- Misaligned teeth
- Dental crowding
- Bite issues including overbite, underbite, crossbite, and even open bite
If you are looking to correct any of these issues or simply want to improve the aesthetics of your smile with straighter teeth, consider contacting our office for an Invisalign consultation.
Teeth Whitening Services
Maintaining a sparkling smile can be challenging, especially since many of our favorite foods have a bad habit of staining our teeth. Coffee, chocolate, and even red grapes are rich in tannins which adhere to our teeth and cause dark spots or discoloration.
At Evolution Dental, even the toughest stains aren’t a concern thanks to our professional teeth cleaning services.
Zoom! formula can return the radiance to your teeth and brighten your smile. By targeting stains at the source, our in-house teeth whitening services provide immediate and visible results. Your teeth can become up to eight shades lighter after a single visit!

Smile Makeover (Dental Bonding)

Before

After
While veneers are considered the gold standard for superior cosmetic results, Dr Cast understands that there are times when a bonding option may be your best option at this time due to costs or very limited time.
When you have an event coming up fast, like a new job or event, bonding can give you a whiter, brighter, straighter smile at about a quarter of the cost of veneers. Thanks to the experienced staff at Evolution Dental, our dental bonding treatment can repair a tooth within an hour, making it perfect for dental emergencies that impact the cosmetics of your smile.
Made of a long-lasting and resilient resin, the composite material can be shaped and colored to match your original teeth, restoring symmetry to your smile and strengthening the compromised enamel. To see if the bonding option is right for you, simply give us a call.
A Brilliant Smile On Your Own Time
While our in-house treatment gets you a sparkling smile quickly, we can appreciate that scheduling appointments can be difficult. But that shouldn’t prevent you from getting the bright smile you deserve.
That is why we also offer Zoom! take-home whitening kits, allowing you to get a brilliant smile on your own time, whether that be while watching your favorite show or on the road to work.
Ever-Evolving Cosmetic Dentistry
At Evolution Dentistry, you can trust that you’re receiving care from a highly trained professional with expertise in the latest advancements in cosmetic dentistry. Dr. Cast’s extensive training and experience ensure that you’ll receive exceptional care tailored to your needs.
A Quality Smile and Experience
You can always expect the highest quality of treatment. Your results will look natural, you’ll have a future-proofed smile, with teeth that look stunning and natural.
Your experience will also feel luxurious and high-quality. Dr. Cast doesn’t rush through procedures and will recommend treatments that will actually improve your looks and oral health. At Evolution Dental, you won’t encounter a waiting room full of people..waiting. No screaming children running around (we’re not a large, cold chain store clinic). We’re an adult-centered practice, and we limit our schedule to allow us to provide the best possible care, one patient at a time; peacefully and calmly.
Our office is calming and elevated, and we even offer sedation dentistry for the best relaxation you’ve ever had in a dental office.
The Newest and Latest in Dentistry
We are constantly evolving in our dental practices. Our options are highly advanced, and if something more advanced comes out, we change our practices to match it. That is why we are called Evolution Dental.
While our options are highly advanced, so is our technology. You can expect a smoother experience without invasive scans or X-rays. Instead, your patient experience will include easy scans and treatment planning solutions.
Our Dental Technology
Digital Impressions and Scans
We use advanced intraoral scanners and X-rays that are less invasive while offering clear images and scans that help us understand the state of your smile. We also take digital impressions instead of sticky concrete impressions, making the process of getting a pretty smile easier than ever.
We can plan orthodontic treatments, implants, and crowns, using the scans and digital impressions, creating precision and beauty in our practice.
Improved Treatment Planning
Our technology allows us to plan for what your smile will look like and accounts for all of the treatments necessary to reach that smile goal. We can show you your target smile and make adjustments as necessary.
Our treatment planning is especially important for our smile makeovers. You can receive a completely new smile with the help of our advanced technology.

Get to Know Us During a Cosmetic Dentistry Consultation
If you have questions about cosmetic dentistry or want to know what treatments are right for you, a consultation with Dr. Cast will help you with both of those things. Our consultation will be personalized to you, and we will get to know your oral health concerns, cosmetic goals, and who you are as a person. Reach out for a consultation.
“I had regular dental work (crowns) as well as cosmetic dentistry performed at Evolution Dental. I was very pleased with the outcome of both. Dr. Cast is a very experienced, talented and excellent dentist, in addition to being very personable. Great staff — friendly, competent, helpful and knowledgeable. I highly recommend Evolution Dental.” – Marne B.
Cosmetic Dentistry Frequently Asked Questions
Our cosmetic dentistry treatments are simple and effective, making it easier than ever to love your smile. Learn more about the answers to your questions from Evolution Dental.
How do I maintain my cosmetic treatments?

During or after treatment, Dr. Cast will walk you through the proper treatment of your new smile. He will likely recommend:
- Which type of toothpaste is best for your needs
- Which toothbrush is best for you (and it may not be at your local grocery store or pharmacy)
- Flossing once a day, and which types of floss aids are best for you
- Using a Waterpik for difficult-to-reach places
- How to maintain your white teeth even if you drink red wine or eat foods that stain
Dr Cast understands that your lifestyle choices are yours and yours alone. This is why he will recommend a hygiene protocol for you, based upon your goals and lifestyle to give you the best out of your dental investment.
We make it easy to maintain your cosmetic treatments past the day you get them. Just maintain a proper hygiene routine and your smile will remain stunning for years to come.
Does tooth whitening hurt?
Our Zoom! whitening treatments can be customized for those who experience sensitivity, minimizing any pain or sensitivity you might feel. We will use the whitening gel for less time or with slightly less potency if you have sensitive teeth.
Does your office replace old amalgam fillings?
We will replace amalgam feelings if they are leaching into your tooth or if they are affecting the cosmetics of your smile. We use tooth-colored fillings to replace your fillings, leaving your tooth appearing white and clean again.
Are dental fillings cosmetic dentistry?
The definition of cosmetic dentistry varies from dentist to dentist, but we consider dental fillings to be part of our general dentistry offerings. However, our dental fillings do restore the appearance of your teeth. We use UV (cured) resin that matches your tooth color perfectly.
What happens if a crown or bridge gets damaged?
Sometimes, despite best efforts, crowns and bridges get damaged. If you have experienced damage to your crown or bridge, call us immediately so we can help you restore or replace your dental prosthetics.
What is the difference between cosmetic and restorative dentistry?
Restorative dentistry focuses on replacing teeth or filling gaps in your smile, giving you a functional smile. Cosmetic dentistry focuses on enhancing the smile you have, using everything from teeth whitening to veneers. Dental crowns can be both restorative and cosmetic dentistry, since they keep your tooth, but restore its functionality.
How do I know which cosmetic dentistry treatment is right for me?
Visit us for a consultation to learn about what we can do to help your smile. The cosmetic treatment that is right for you depends on how much staining or damage you have to your smile. For an easy, one-visit treatment, tooth whitening can improve your smile drastically. If you have a tooth that is stained or cracked, bringing down your smile, crowns or veneers might be the solution for you.
How long do crowns and veneers last?
Depending upon your diet, hygiene regimen, and parafunctional habits, crowns and veneers both can last around twenty years! We will train you on all that you need to do to keep your cosmetic dentistry lasting as long as possible.
Our office makes replacing old or damaged crowns easy, so if you have a crown that has suffered damage, we can schedule a visit with you today.
Who Should Receive Cosmetic Dentistry Treatments?
We welcome any individuals looking for an improved appearance and look. We can discuss which options will help you the best.
You may be a great candidate for cosmetic dentistry if you are interested in any of the following:
- Straighter teeth that improve dental hygiene
- Reducing the risk of periodontal disease by protecting exposed gums.
- A boost in self-esteem from knowing you look your finest
Call Today for Your Cosmetic Dentistry Consultation
If you are a full-time or part-time resident or a frequent guest of Palm Desert, Palm Springs, or a neighboring community, and looking to restore or enhance the aesthetics of your smile, consider Evolution Dental as the place to go for your cosmetic dental needs.
Discover the difference that experience can make with the help of Dr. Cast. Contact our office today to schedule a consultation.
About Dr. Cast
Dr. Douglas Cast is a Southern California native. He earned his Doctor of Dental Surgery degree from Georgetown University. Dr Cast is both a former Clinical Instructor and a Lecturer at the prestigious Las Vegas Institute for Advanced Dental Studies (LVI), which is a global leader in teaching dentists from around the world in the art and science of cosmetic and restorative dentistry. Dr. Cast played an instrumental role in designing some of the cosmetic advancements commonly seen in higher-end cosmetic dental treatments today.











